Bienvenidos a North Broad Family Dental & Orthodontics, la oficina del Dr. Ben Pomeranc. Nuestra clinica dental, ubicada en Elizabeth, Nueva Jersey, se dedica a la creacion de sonrisas hermosas, duraderas y mantenimiento de la salud oral de nuestros pacientes. Por mas de treinta afios, hemos entregado el cuidado dental general, reconstituyente y cosrnetico de la calidad mas alta en una atmosfera amistoso, con bondad y respeto. Nuestro objetivo es no solo corregir cualquier patologia dental, sino ayudarle a prevenir problemas de salud oral en el futuro. Si sus necesidades dentales incluyen un examen completo y limpieza, una restauracion de la boca lIena 0 algo entre, prometemos proveerle cuidado excepcional en todo momento desde principio a fin. Utilizamos las ultimas tecnologfas para asegurar a nuestros pacientes de las opciones de tratamiento mas reciente para ayudar a mejorar su sonrisa y mantener su salud oral.
Below are some of the most common services we provide:
- Ortodoncias/lnvisalign/TMJ
- Tratamiento del conducto radicular
- Extraccion/Muelas de juicio
- Implantes
- Coronas y Capas
- Higiene dental
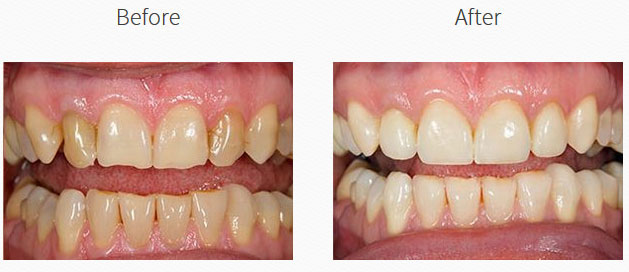
- Blanqueamiento de dientes/ZOOM
- Rellenos blancos/bonding
- Terapia periodontal
- Dentadura Postiza
- Chapas
- Cuidados pediatricos
- Odontología Prenatal
- Protector nocturne
- Protectores bucales
Esperamos que encuentre este sitio web siendo un recurso util y interesante para todas sus intereses dentales. Si Ie gustaria mas informacion sobre alguno de los procedimientos que ofrecemos 0 programar una cita, por favor llame nuestra oficina al numero mencionado.









